service

Şeffaf Braketler: Estetik Braketler ile Doğal ve Konforlu Diş Düzeltme

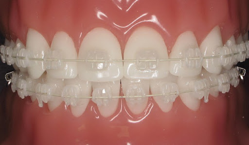
Şeffaf braketler, diş düzeltme tedavisinde estetik kaygıları en aza indirgeyen modern bir seçenektir. Seramik veya safir malzemelerden üretilen estetik braketler, geleneksel metal braketlere göre neredeyse görünmez olmaları sayesinde, tedavi sürecinde doğal bir görünüm sunar. Bu sayede, hem genç hem de yetişkin hastalar, sosyal yaşantılarını etkilemeden diş tedavilerini sürdürebilir.

Estetik Braketler (Seramik, Safir)

Estetik braketler, diş renginde veya şeffaf materyaller kullanılarak üretilir. Bu özellikleri sayesinde tedavi sırasında neredeyse fark edilmez ve hastaların estetik beklentileri yüksek tutulur.

  • Özellikler:
  • Diş rengine uyum sağlayan seramik veya safir malzemeden üretilir.
  • Geleneksel braket tedavisiyle aynı prensiplerde çalışır.
  • Hem dayanıklı hem de estetik açıdan üstün performans sunar.
  • Avantajları:
  • Tedavi süresince dişlerin doğal görünümünü korur.
  • Sosyal yaşantıda estetik kaygıların azaltılmasına yardımcı olur.
  • Diş düzeltme sürecinde konfor ve memnuniyet sağlar.
Dentbul Klinikleri

Size uygun klinik bilgilerine ulaşıp bizimle irtibat kurabilirsiniz

Detayları Gör
Dentbul Klinikleri
Ataköy Dentbul Diş Kliniği
Pazartesi - Cumartesi 09:00 - 21:00
Şirinevler Dentbul Diş Kliniği
Pazartesi - Cumartesi 09:00 - 21:00
Bağcılar Dentbul Diş Kliniği
Pazartesi - Cumartesi 09:00 - 19:00
service

Dişlerinizi Uzmanlara Emanet Edin

Randevu Al
Randevu Alın

Randevunuzu Talep Edin

Randevu Alın
WhatsApp
Instagram
Phone
Randevu Al
WhatsApp
Merhabalar!