service

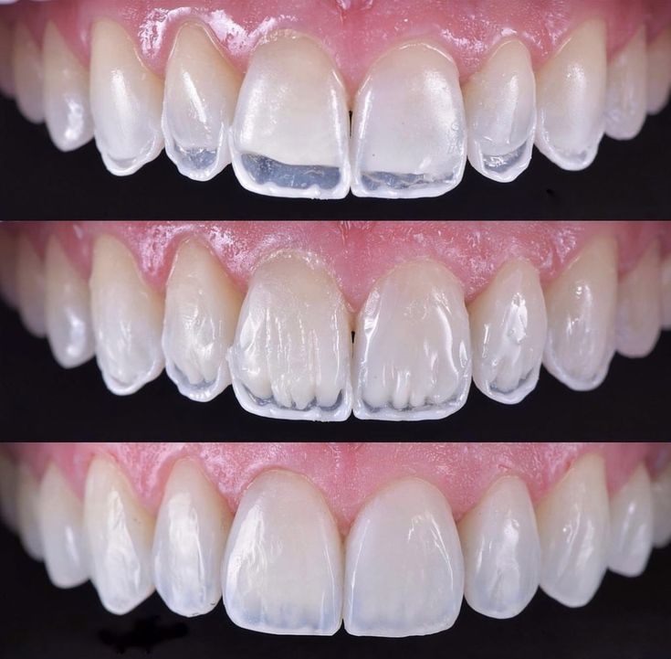
Bonding Uygulamaları Nedir?

Bonding uygulamaları, dişlerdeki küçük estetik kusurları düzeltmek amacıyla özel kompozit reçinelerin kullanıldığı pratik ve etkili bir diş estetiği yöntemidir. Bu yöntemle, diş yüzeylerinde meydana gelen küçük kırıklar, form bozuklukları veya dişler arasındaki boşluklar (diastema) hızlı ve ekonomik şekilde giderilir.

Diş Arası Boşluk Kapatma (Diastema)

Dişler arasındaki boşluklar (diastema), estetik açıdan rahatsız edici olabilir. Bonding uygulaması ile bu boşluklar hızlıca kapatılır ve dişlerin doğal görünümü korunarak ideal estetik sonuç elde edilir. İşlem, tek seansta tamamlanarak hastalara hızlı ve konforlu bir çözüm sunar.

Ufak Kırık ve Form Düzeltme

Dişlerde oluşan ufak kırıklar veya form bozuklukları bonding yöntemi ile kolaylıkla düzeltilir. Özel olarak hazırlanan kompozit malzemeler diş üzerine uygulanarak doğal diş formu tekrar oluşturulur. Bu yöntem, estetik görünümü düzeltmenin yanı sıra dişlerin fonksiyonunu da korur ve iyileştirir.

Bonding uygulamaları sayesinde, dişlerdeki küçük estetik problemleri hızlı, ekonomik ve etkili bir şekilde gidererek sağlıklı ve doğal görünümlü gülüşlere kavuşabilirsiniz.

Dentbul Klinikleri

Size uygun klinik bilgilerine ulaşıp bizimle irtibat kurabilirsiniz

Detayları Gör
Dentbul Klinikleri
Ataköy Dentbul Diş Kliniği
Pazartesi - Cumartesi 09:00 - 21:00
Şirinevler Dentbul Diş Kliniği
Pazartesi - Cumartesi 09:00 - 21:00
Bağcılar Dentbul Diş Kliniği
Pazartesi - Cumartesi 09:00 - 19:00
service

Dişlerinizi Uzmanlara Emanet Edin

Randevu Al
Randevu Alın

Randevunuzu Talep Edin

Randevu Alın
WhatsApp
Instagram
Phone
Randevu Al
WhatsApp
Merhabalar!